1. What immediate steps in management do you take when a patient with intracranial hemorrhage (ICH) exhibits signs of elevated intracranial pressure (ICP)?
2. In which patients with ICH do you push for invasive neurosurgical intervention?
3. What interventions do you initiate in patients with ICH on antiplatelet medications?
4. What agent(s) do you use for warfarin reversal in the setting of ICH? What about other oral anticoagulants?

1.) elevate HOB, mannitol vs hypertonic saline 2.) signs of herniation 3.) platelet transfusion 4.) a.) PCCs b.) PCCs
Sent from my iPhone
>
1) elevate bed, zofran prn, mannitol/hypertonic saline, pain control, intubate, page neurosurgery
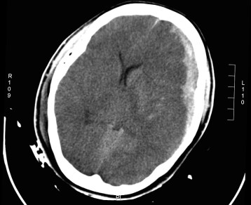
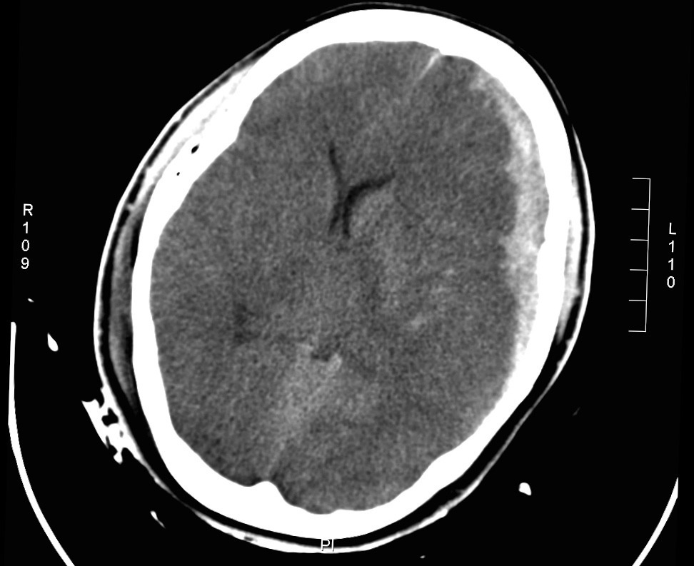
2) midline shift… Think >6mm?) … Impending herniation.
3) platelets, desmopressin, call heme/onc. Elevate bed, zofran / pain control prn. Call neurosurg. Intubate if herniating.
4) vitk iv over 5-10 min, PCC or FFP if unavailable.
Once the patient is intubated, you can also temporarily hyperventilate to a target PCO2 of 30-35mmHg.
1) Intubate, try to perform as quickly and cleanly as possible. Elevate HOB. Mannitol. 2) Significant midline shift, I believe initial GCS and pt co-morbidity may play a role–I call neurosurg for all. 3) ASA–1 unit aphersis, ddAVP, Clopidogrel, other–2 units apheresis, ddAVP. 4) PCC (we have 4 factor) and vitamin K 10 mg IV. NOACs–consider PCCs, particularly for factor Xa inhibitors.