1. What is RSI, and why do we use it for most ED intubations?
“Rapid Sequence Intubation (RSI) is the administration, after preoxygenation, of a potent induction agent followed immediately by a rapidly acting neuromuscular blocking agent to induce unconsciousness and motor paralysis for tracheal intubation” (Walls and Luten).
We use RSI in the ED for a number of reasons. Unlike in the OR, we don’t get time for a full pre-operative evaluation of patients, pre-op clearance by a patient’s primary care physician, etc. In addition, patients are usually unstable/critically ill and need immediate, emergent airway protection via intubation. RSI is the fastest and safest way, under most circumstances, of obtaining this airway protection.
Numerous studies have shown that paralysis with induction optimizes intubation conditions in the ED and our success rate with this modality is extremely high (> 95% in medical patients and > 90% in trauma/surgical patients) (Walls and Luten). Paralytics are particularly useful because they help in the prevention of gastric content aspiration.
2. What are the “Seven P’s” of RSI?
The “Seven P’s” are the key steps in RSI. They are:
Preparation
Preoxygenation
Pretreatment
Paralysis and Induction
Positioning
Placement with proof
Postintubation management
Please note that “panic” is not one of the Seven P’s.
3. Atropine, Fentanyl and lidocaine are some of the typical agents used in the pretreatment phase of RSI. When and why do you use any of these drugs?
Atropine: This drug is most commonly used in pediatric patients (particularly < 2 years of age) to attenuate reflex bradycardia associated with succinycholine administration in RSI. The idea is that kids tolerate tachycardia very well but do poorly with bradycardia. The dose of atropine for pretreatment is 0.01 mg/kg IV (minimum dose is 0.1 mg). Although it continues to be recommended by a number of professional societies, randomized control trials have shown no difference in the rate of clinically significant bradycardia in pediatric patients receiving succinycholine whether they got atropine or not (McAuliffe, et al). Most airway “gurus” have dropped atropine as a recommendation for pretreatment but suggest having it at the bedside if bradycardia occurs, especially in patients under the age of one.
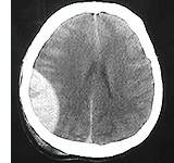
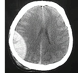
Fentanyl: Fentanyl pretreatment is thought to attenuate the sympathetic response to direct laryngoscopy. This sympathetic response can drive up heart rate, blood pressure, and ICP and so may be detrimental to patients, especially those patients with ischemic heart disease, aortic dissections, intracranial hemorrhage, etc. The dose required for full attenuation is 11 – 15 mcg/kg but this large a dose may cause significant hypotension. Doses as low as 2-3 mcg/kg will produce some attenuation and are more reasonable for RSI purposes. Important to note is that the use of opioids in pretreatment for head trauma is an area of controversy. The Walls text recommends it, but be aware there is some evidence to suggest that it may increase ICP in patients with head injury (de Nadal, et al).
Lidocaine: Lidocaine pretreatment is also believed to dampen the response to direct laryngoscopy, but instead of affecting the entirety of the sympathetic response, lidocaine may attenuate the bronchoconstriction and increased intracranial pressure caused, of use in patients intubated for asthma or elevated ICP (due to bleed, trauma, mass, etc.) (Lev and Rosen). A Cochrane review update of a 2001 article by Robinson and Clancy found no evidence that pretreatment with lidocaine in patients with head injury undergoing RSI improved neurological outcomes. The dose for increased ICP and reactive airway disease is 1.5 mg/kg IV.
Remember that pretreatment must be given at least 3-5 minutes prior to induction and paralysis. Pretreatment should never delay intubation in a patient with hypoxia.
4. What is the role for defasciculating doses of paralytic agents?
In the past, defasciculating doses of succinycholine, or pretreatment with a non-depolarizing agent prior to succinycholine, was recommended to prevent fasciculations. The idea was that fasciculations cause increased intracranial pressure and were thus detrimental to patients with head trauma. While some studies have suggested that fasciculations associated with succinycholine increase ICP, there has never been any evidence to show that it leads to changes in morbidity or mortality. In addition, more recent studies have called into question whether fasciculations increase ICP at all (Clancy, et al, 2001).
References and Further Reading
Walls RM. Lidocaine and rapid sequence intubation. Ann Emerg Med. 1996. 27(4): 528-529.
Walls RM and Luten RC. Manual of Emergency Airway Management. Third Edition. Lippincott. 2008.

Pingback: Rapid Sequence Intubation (RSI) • LITFL • CCC Airway